Dr. Sam Markzar and our team invite you to view our smile gallery to become more informed about our services and witness your smile’s potential. If you would like to experience our high-quality periodontics in Beverly Hills, California, please contact Beverly Hills Periodontal Arts and Implants and schedule your appointment with our skilled periodontist. We look forward to helping you enhance your smile!

Dental Implants

Smile Makeover

Full Arch Rehabilitation with porcelain crowns on natural teeth and implants.

The facial impact of tooth loss and bone resorption

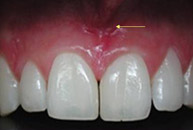
This fractured tooth needed to be immediately replaced

Fractured tooth replaced with dental implant

Dental Implant was placed & restored after 13 weeks

Two side front teeth replacement (Congenitally Missing)

Fractured tooth replaced by immediate implant. Patient’s own tooth was used , as temporary, same day of surgery

An implant crown can be secured with cement, or a special screw

Front Tooth Replacement

Back Teeth Replacement

Implant supported Denture & Bridge

Upper Arch: Denture, Lower Arch: Implants

Severe gum recession was corrected by a Tissue Graft procedure

Severe gum recessions repaired by Tissue Graft procedure.

Recessions were corrected by a tissue graft procedure

Infection was treated by Periodontal surgery & roots were covered by Tissue Graft procedure

Esthetic Crown Lengthening

Esthetic Crown Lengthening Surgery Followed by Veneers

Esthetic Crown Lengthening Surgery Followed by Veneers

Crown Lengthening & porcelain crown replaced this old crown (dark shaddow gone!)

Lip Repositioning

Lip Repositioning

Lip Repositioning

A severely fractured tooth can be saved by Functional Crown Lengthening (later restored with a crown)

Fractured tooth saved by Crown Lengthening & new crown

Severe gingivitis was corrected by deep cleanings

The frenum was removed to close the space

The frenum was removed to prevent spacing to reoccur